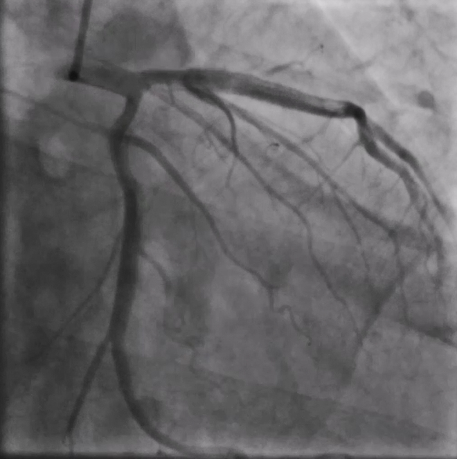
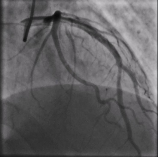
重庆江北区的65岁李先生反复心前区疼痛2年,半年前在外院前降支近端植入支架一枚,术后症状仍然反复,曾在多家医院就诊,无法明确原因。近日到新桥医院就诊,医院心血管内科为李先生安排了冠脉造影检查,结果提示:前降支支架内未见明显狭窄,但血流速度较正常冠脉明显变慢。


引起血流慢的原因何在?
二维平面的造影结果不能提供更多的信息,于是,新桥医院导管室主任赵晓辉教授决定采用高清IVUS技术(HD-IVUS,high definitionIntravascular ultrasound)对冠脉内结构进一步分析。结果显示支架梁近端开口处有一低密度斑块是引起慢血流的罪魁祸首。

▲第一排为影像测量数据,第二排为原始图;第三排为示意图,其中红色为管腔,黄色为斑块
“传统IVUS使用40M赫兹的低频探头,而高清IVUS超声探头为60M赫兹,更高的频率带来了分辨率更加清晰的成像效果。”新桥医院心血管内科赵晓辉副主任介绍到,相较传统设计,高清IVUS使用先进的60 MHz复合传感器,提供了更均衡的组织声阻抗和更高的信号敏感度。同时配合宽频技术,高清IVUS保持了对大血管的穿透深度,轴向及侧向图像分辨率也得到了更明显优化。

新桥医院心血管内科晋军主任表示,冠状动脉血管造影术一直是评估冠状动脉狭窄程度的传统手段,然而,造影获得的二维影像并不能准确反映病变处冠脉血管内壁的病理解剖结构,高清IVUS在拥有良好的穿透深度的同时,提高了影像信号的敏感度和分辨率,较普通IVUS,能够提供更为全面细致的信息,充分发挥血管内“探路先锋”的作用,为术者制定手术策略,优化手术方案铸就更坚实的基础。

高清IVUS是新桥医院心内科展开应用的又一冠心病影像学“神器”,新桥医院心血管内科成功完成此例血管内超声(IVUS)指导下冠状动脉介入精准化治疗,成为目前重庆市唯一一家能够独立开展并掌握IVUS技术的医院,填补了该项技术在重庆市的空白。