网站首页
医院简介
医院简介
美丽新桥
医院交通
新闻动态
院内新闻
视频报道
医学短讯
学科简介
专家介绍
特色诊疗
特色科室
专科专病
特色技术
知名专家团队
医学教育
通知公告
教学动态
院校教育
毕业后教育
继续教育
临床技能中心
学员管理中心
下载中心
科研动态
通知公告
新闻动态
科研成果
科研平台
患者服务
通知公告
为军服务
预约诊疗
门诊服务
急诊服务
住院服务
医保服务
医院交通
院内分布图
健康科普
常见问题
建议信箱
人才招聘
招聘公告
招聘信息
新闻动态
医院简介
视频报道
医学短讯
您现在的位置:
首页
>>
医疗特色
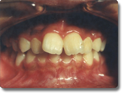
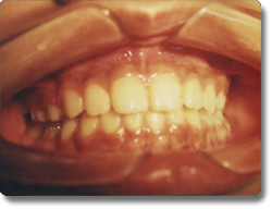
儿童及成人牙列不齐的正畸治疗
对于儿童及成人的牙齿排列不及,采用方丝弓固定矫正技术治疗儿童及成人的各类牙齿不齐。对于替牙期及恒牙牙列早期的骨性Ⅲ类错颌即“地包天”,采用固定快速扩弓,同期应用面具式前方牵引器,牵上颌前移,对牙面畸形进行矫形治疗,不仅治疗牙列不齐,同时矫正面部畸形,促使面部正常生长发育。
Copyright 2016 xqhospital All Rights Reserved 陆军军医大学·新桥医院
地址:重庆市沙坪坝区新桥正街83号 乘车路线:219、260、280、280、281、287、871、891路
24小时咨询热线:023-68755114、023-68755000 ICP备案/许可证编号:ICP备16011689号 渝公网安备50010602500400号