新闻动态
医院简介
视频报道
医学短讯
 
  您现在的位置:首页 >>医疗特色
糖尿病足的诊治


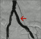
可怕的LEADDP 糖尿病下肢血管病变(LEADDP)可致患者肢体麻木、疼痛,间歇性跛行,乃至坏疽(糖尿病足),截肢率高达40 %以上。LEADDP是糖尿病致残、致死的主要原因,糖尿病患者因LEADDP造成的截肢,要比非糖尿病患者高5到10倍以上。先进的DSA + 微创介入 1、选择性血管造影(DSA)是LEADDP诊断的金标准。 2、微创介入治疗优点: 创伤小,仅有一2-3 mm的穿刺创口 成功率高:目前其成功率达85-90 % 保肢率高:术后病人截肢率可从40 %降为4 %左右 早发现早治疗:越早治疗效果越好.独创的微创介入 + HBO + bFGF综合治疗途径 1、DSA + 微创介入 2、高压氧(HBO)物理疗法:大型空气加压舱,治疗压力0.2 MPa,面罩吸纯氧30 min 3、基于重组成纤维细胞生长因子(bFGF)局部换药.
 
 
Copyright 2016 xqhospital All Rights Reserved 陆军军医大学·新桥医院
地址:重庆市沙坪坝区新桥正街83号 乘车路线:219、260、280、280、281、287、871、891路
24小时咨询热线:023-68755114、023-68755000 ICP备案/许可证编号:ICP备16011689号 渝公网安备50010602500400号