网站首页
医院简介
医院简介
美丽新桥
医院交通
新闻动态
院内新闻
视频报道
医学短讯
学科简介
专家介绍
特色诊疗
特色科室
专科专病
特色技术
知名专家团队
医学教育
通知公告
教学动态
院校教育
毕业后教育
继续教育
临床技能中心
学员管理中心
下载中心
科研动态
通知公告
新闻动态
科研成果
科研平台
患者服务
通知公告
为军服务
预约诊疗
门诊服务
急诊服务
住院服务
医保服务
医院交通
院内分布图
健康科普
常见问题
建议信箱
人才招聘
招聘公告
招聘信息
新闻动态
医院简介
视频报道
医学短讯
您现在的位置:
首页
>>
医疗特色
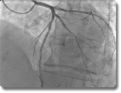
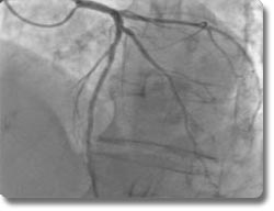
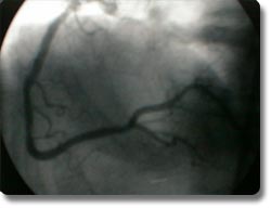
心脏介入诊疗技术(经皮腔内冠脉成形术(PTCA)及支架植入)
PTCA及支架植入术是当今世界上治疗冠心病最先进的方法。在X线透视下,将球囊导管送到病变的冠状动脉,扩张狭窄的血管并植入支架支撑,是内科治愈冠心病最有效的手段。我科1984年开展选择性冠状动脉造影、1994年开展PTCA及支架植入术,现已累计病例2000余例次。接受PTCA及支架植入术的患者最大年龄为92岁。
Copyright 2016 xqhospital All Rights Reserved 陆军军医大学·新桥医院
地址:重庆市沙坪坝区新桥正街83号 乘车路线:219、260、280、280、281、287、871、891路
24小时咨询热线:023-68755114、023-68755000 ICP备案/许可证编号:ICP备16011689号 渝公网安备50010602500400号