网站首页
医院简介
医院简介
美丽新桥
医院交通
新闻动态
院内新闻
视频报道
医学短讯
学科简介
专家介绍
特色诊疗
特色科室
专科专病
特色技术
知名专家团队
医学教育
通知公告
教学动态
院校教育
毕业后教育
继续教育
临床技能中心
学员管理中心
下载中心
科研动态
通知公告
新闻动态
科研成果
科研平台
患者服务
通知公告
为军服务
预约诊疗
门诊服务
急诊服务
住院服务
医保服务
医院交通
院内分布图
健康科普
常见问题
建议信箱
人才招聘
招聘公告
招聘信息
新闻动态
医院简介
视频报道
医学短讯
您现在的位置:
首页
>>
医疗特色
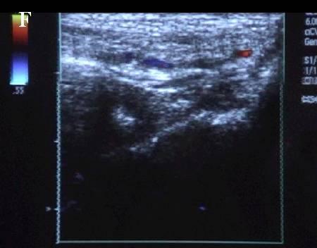
经皮注射凝血酶治疗股动脉假性动脉瘤
A 连接三联管及穿刺针准备 B 超声引导下注射针进入瘤腔底部(箭头处) C 经注射针注入盐水出现超声频闪现象; D 远端瘤腔内血栓逐渐形成; E 远端、近端瘤腔内血栓完全形成; F 术后足背动脉血流良好. 国内首家开展,例数最多,疗效肯定。此技术在全国推广应用。处于全国领先水平。
Copyright 2016 xqhospital All Rights Reserved 陆军军医大学·新桥医院
地址:重庆市沙坪坝区新桥正街83号 乘车路线:219、260、280、280、281、287、871、891路
24小时咨询热线:023-68755114、023-68755000 ICP备案/许可证编号:ICP备16011689号 渝公网安备50010602500400号