网站首页
医院简介
医院简介
美丽新桥
医院交通
新闻动态
院内新闻
视频报道
医学短讯
学科简介
专家介绍
特色诊疗
特色科室
专科专病
特色技术
知名专家团队
医学教育
通知公告
教学动态
院校教育
毕业后教育
继续教育
临床技能中心
学员管理中心
下载中心
科研动态
通知公告
新闻动态
科研成果
科研平台
患者服务
通知公告
为军服务
预约诊疗
门诊服务
急诊服务
住院服务
医保服务
医院交通
院内分布图
健康科普
常见问题
建议信箱
人才招聘
招聘公告
招聘信息
新闻动态
医院简介
视频报道
医学短讯
您现在的位置:
首页
>>
医疗特色
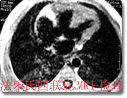
先天性心血管疾病的影像诊断
本科室有丰富的先天性心脏病的诊断经验和手段,通过心血管造影、MRI等方法,可以对先天性心脏病法乐氏四联症、三联症、三尖瓣异常、动脉导管未闭、房(室)间隔缺损、大血管位置及引流异常等在术前作出比较准确的影像诊断和评估,为临床手术治疗提供可靠的诊断依据,极大的提高了先天性心脏病的诊治水平,对间隔缺损和动脉导管未闭患者还可进行介入性微创治疗,在国内处于领先地位。
Copyright 2016 xqhospital All Rights Reserved 陆军军医大学·新桥医院
地址:重庆市沙坪坝区新桥正街83号 乘车路线:219、260、280、280、281、287、871、891路
24小时咨询热线:023-68755114、023-68755000 ICP备案/许可证编号:ICP备16011689号 渝公网安备50010602500400号