新闻动态
医院简介
视频报道
医学短讯
 
  您现在的位置:首页 >> 新闻动态 >> 院内新闻
【全国爱肝日】新辅助治疗联合微创外科手术——扭转肝癌困境,给你“胰腺生机”
发布时间:2021-3-19 发布者:李春梅、彭雪辉
大家常说“心肝宝贝”
肝脏确实是人的宝贝
俗话说
人体能健康,全靠肝来帮
今天
3月18日,“全国爱肝日”
今年的主题是
爱肝护肝 防治结合  遏制肝炎
 
 
  最近一段时间,几位知名人士因肝癌相继去世,这加深了公众对肝癌的恐惧和疑惑。正值“全国爱肝日”,我们了解到新桥医院肝胆外科在李靖主任带领下,成功救治了一位52岁的晚期肝癌患者和一位48岁胰腺癌患者治疗的案例。新桥医院肝胆外科利用新辅助治疗联合微创外科手术,扭转肝癌困境,给患者“胰腺生机”。
 
01
五旬大妈吃中药化解肝肿瘤延误治疗
“转化治疗”让她绝处逢生
 
  2020年5月,对于患有30年乙肝史的万州付女士来说,真是多重煎熬:新冠疫情还未结束,又因右上腹痛被诊断为肝癌,肝右叶上端有一个约5厘米的肿瘤。
 
  “当时很害怕手术和化疗,听别人说有人吃中药可以化解包块,于是就找到当地所谓的‘名医’,吃了半年的中药,但疼痛没见好转,再复查还长大了。”在新桥医院肝胆外科病房,付女士对记者说道。
 
  2020年12月底,付女士再次复查发现肿瘤长大到7厘米,并且已经侵犯肝脏主要血管门静脉主干及分支,肝脏肿瘤标志物甲胎蛋白AFP> 2000 ng/mL,临床诊断属于肝癌晚期,已失去根治性手术机会。
 
  为得到最好的治疗,付女士被收治到新桥医院肝胆外科一病区,科室副主任郑璐率肝脾团队在详细了解病情后,决定为其先进行转化治疗:应用“肝动脉灌注化疗(HAIC)联合靶向和免疫治疗,先将肿瘤和癌栓退缩到可以根治性手术切除的范围,再行微创外科切除手术。
 
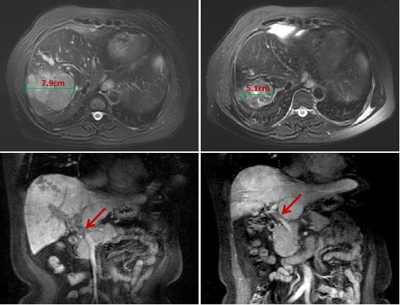
  经过两期治疗后,复查核磁共振MR显示病灶缩小明显,门静脉主干癌栓消失,肝功能A级,并且其肿瘤标志物AFP也从2000 ng/mL明显降至16.5 ng/mL。
 
▲转化治疗后肿瘤缩小、门静脉主干癌栓消失
(左:治疗前;右:治疗后)
 
 
▲术前3D成像评估肿瘤情况(橙色部分为肿瘤)
 
  2021年3月8日,郑璐团队经过全面的术前评估后,为其在腹腔镜下成功实施了右半肝切除合并胆囊切除术。术后病理显示高-中分化肝细胞肝癌伴坏死,门静脉残端无癌,内癌栓坏死。
 
  患者术后3天,已经正常进食和下床活动,术后第9天甲胎蛋白降至完全正常,复查CT提示患者体内病灶已经彻底清除。
 
 
02
连续4月饭后腹痛竟是胰腺肿瘤作怪
“转化治疗”重获手术机会
 
  家住重庆石柱县的48岁秦女士,自2020年4月开始,每次饭后就感觉腹部胀痛,原以为是胃肠不好,后来稍微吃点食物就会胀痛。坚持了4个月后,到当地医院就诊,经超声检查提示,胰腺有一巨大包块。
 
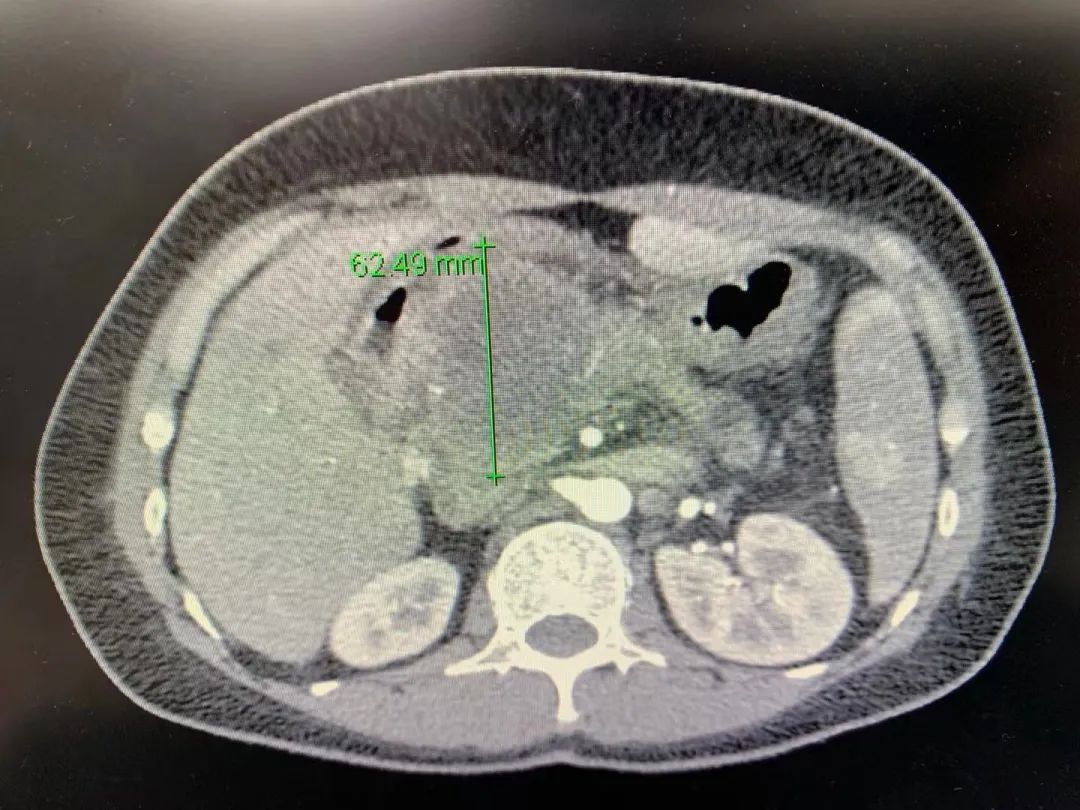
  为了明确包块的性质,秦女士和家人来到新桥医院肝胆外科,经过超声内镜穿刺活检病理诊断为“胰腺癌”,位于胰头位置的肿瘤足有直径62mm大,已经与腹主动脉分支、肝总动脉紧紧地长在一起,并且肠系膜上动脉周围淋巴结已有转移,门静脉、肠系膜上静脉也被肿瘤360°包饶。查血肿瘤标志物Ca199:101.8 U/mL,超过正常值3倍。
 
  “这个包块很大,属于较晚的胰腺癌。”新桥医院肝胆外科副主任黄小兵将这个结果告诉秦女士家人时,他们都不相信这么年轻就得了这个病,赶紧向医生询问道:“还有没有办法可以治呢?”
 
  黄小兵副主任回答说:“从这几个检查指标看,按常规的治疗方案,确实无法对这个进展期胰腺癌进行手术,但现在有一种转化治疗方案,可以先通过新辅助化疗,让肿瘤‘变’小,然后再手术切除,从而可能达到根治的目的。”
 
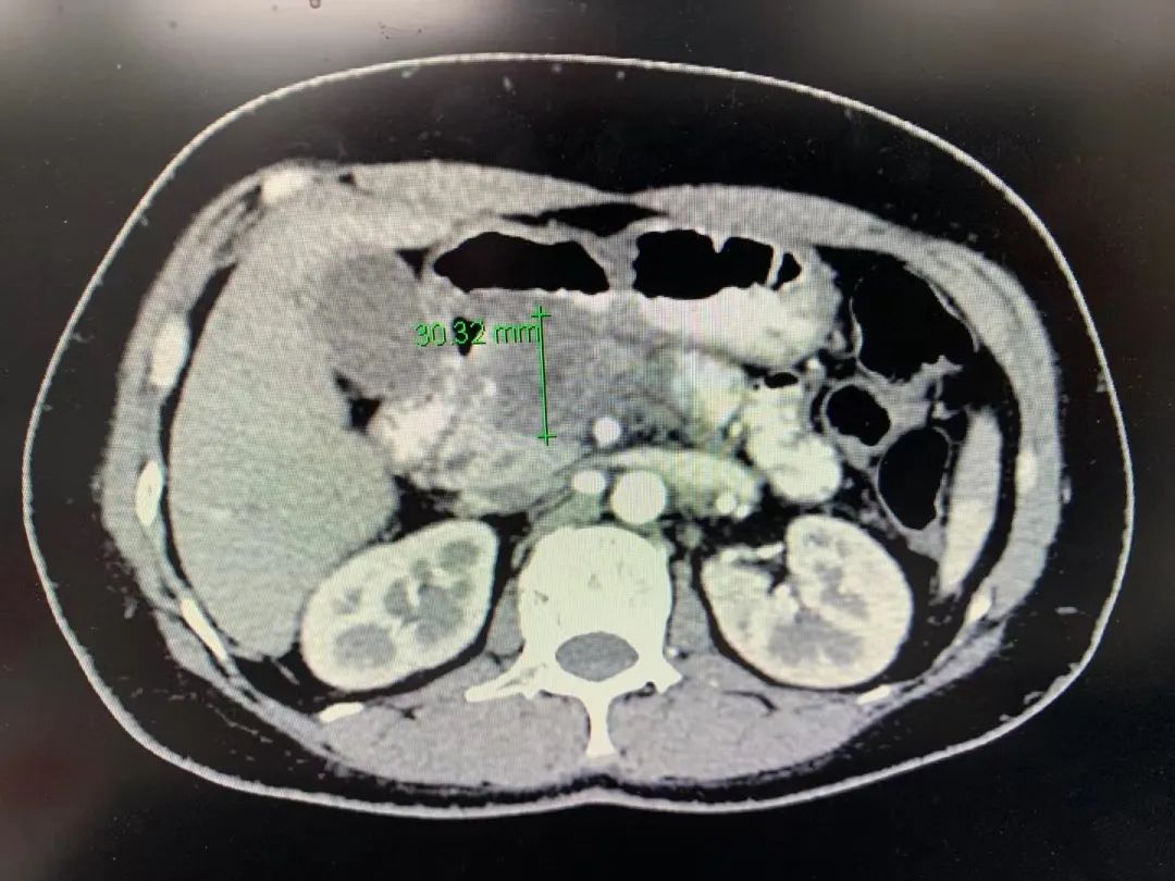
  随后,秦女士在新桥医院肝胆外科二病区经新辅助化疗3周期以后,肿瘤情况明显好转,肿瘤直径从62.49mm缩小至30.32mm,腹腔干显露,肝总动脉周围肿瘤侵犯情况好转,肠系膜上动脉周围侵犯淋巴结明显缩小,肿瘤标志物Ca199也降至18.6 U/mL,恢复正常值范围。
 
▲化疗前CT肿瘤情况 
 
▲新辅助化疗3周期后肿瘤情况
 
▲术前3D成像评估肿瘤情况
(黄色部分为肿瘤) 
 
▲术后1月CT复诊
 
  最后,新桥医院肝胆外科胰腺团队在黄小兵副主任的带领下,成功为秦女士实施腹腔镜胰十二指肠扩大根治术(LPD)合并肠系膜上静脉血管部分切除,患者术后恢复良好,10天后出院。术后一月复查CT及肿瘤标志物等情况良好,目前患者术后已随访4月未见肿瘤复发,预后良好。
 
 
 
  据新桥医院肝胆外科主任李靖教授介绍,肝胆胰肿瘤恶性程度高,传统转化治疗成功率低,是患者生存率低的重要原因。近几年新型药物和HAIC等新技术新方案的不断出现,应用新辅助治疗为无法行根治性手术的临界可切除及局部进展期肝癌和胰腺癌患者提供了根治性手术的可能,为提高肝胆胰肿瘤的生存率带来了曙光。而与腹腔镜微创技术的结合也使新辅助治疗后的患者可以恢复更快,以便更早的进入术后延续性治疗,减少手术后等待期,避免等待期内发生的的微转移或复发,进而改善预后,为患者生存获益。
 
  肝胆胰肿瘤的微创外科手术是腹部外科最复杂且具有挑战性的手术之一,目前国内只有一些大型医院能常规开展。新辅助治疗除了能使癌肿缩小,但是同时也会引起术区炎症水肿和粘连等,进一步增加了手术的难度。此两类手术的顺利开展,也标志着新桥医院肝胆胰微创外科技术已达国内领先水平。该科室先进的微创外科理念,娴熟的介入技术和微创操作技术,以及系统的综合治疗,在让广大老百姓获益的同时,也得到了同行的高度认可和赞誉。
 
Copyright 2016 xqhospital All Rights Reserved 陆军军医大学·新桥医院
地址:重庆市沙坪坝区新桥正街83号 乘车路线:219、260、280、280、281、287、871、891路
24小时咨询热线:023-68755114、023-68755000 ICP备案/许可证编号:ICP备16011689号 渝公网安备50010602500400号