新闻动态
医院简介
视频报道
医学短讯
 
  您现在的位置:首页 >> 新闻动态 >> 院内新闻
【特色技术】78岁老太反复晕厥 微创植入球囊扩张瓣膜救命
发布时间:2021-1-28 发布者:李春梅
 
主动脉瓣狭窄时间较长
夜间呼吸困难
头晕、心慌
胸闷、晕厥
病人病状
 
  78岁刘老太太反复胸闷5年余,伴有头晕、乏力,近1年来胸闷症状逐渐加重,长距离步行就会觉得心累、心慌,并出现夜间呼吸困难,且多次晕厥,生活质量极差。
 
检查评估
  ▲高龄、主动脉瓣重度狭窄伴重度返流、心功能差、多器官功能不全;
  ▲因晕厥4次入院,保守药物治疗效果不明显;
  ▲CT显示老人心脏解剖结构非常特殊,其双侧冠状动脉开低,瓣膜的瓣叶冗长、粘连,开胸换瓣的外科手术风险相当高。
 
TAVR成为患者唯一的希望
 
虽然仍然存在一定的风险
但经过和患者及家属充分的沟通后
晋军教授和多学科瓣膜团队
决定迎难而上
为老人制定了详细周密的
置入球囊扩张瓣手术计划
 
 
有惊无险!成功手术!
 
  术中,患者突发室颤和血压下降,最凶险的情况还是发生了---冠状动脉阻塞!晋军教授及其团队果断决策、沉着应对,千钧一发之际为患者紧急开通血管,最终顺利将瓣膜精准释放到预期位置,手术圆满成功。
 
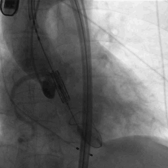
▲瓣膜定位造影
 
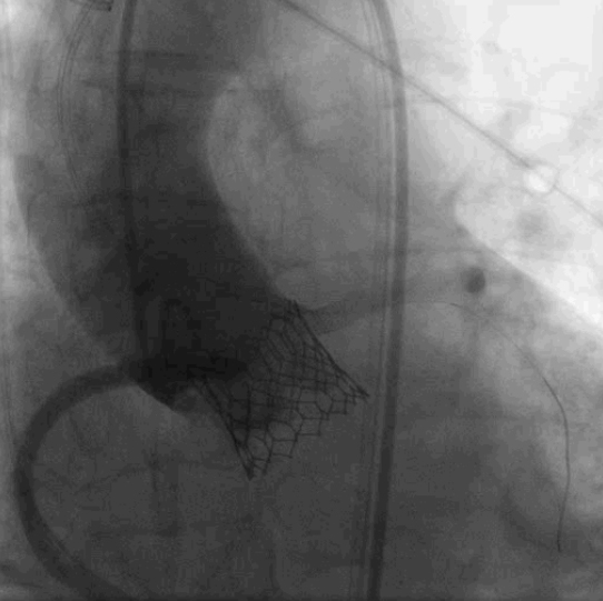
▲瓣膜释放后造影
术后五天康复出院
 
  术后,患者心率平稳,血压恢复正常,心脏造影显示患者主动脉瓣反流即刻消失,无残余瓣周漏,五天后顺利康复出院。
 
TAVR
 
  该项技术的开展,标志着重庆市TAVR(经导管主动脉瓣置换术)水平进入到一个崭新的阶段,给医生带来更多治疗选择的同时,也为不同患者带来更合适的差异化治疗。
 
  据新桥医院心血管内科主任晋军教授介绍,随着我国老龄化社会的到来,老年瓣膜退行性病变发病率不断增加,65岁以上人群中,主动脉瓣狭窄的患病率高达3-7%,患者出现典型症状后,如未接受及时治疗,两年生存率仅50%,五年生存率不足20%,同时此类患者往往因为高龄、体质差、合并多种基础疾病等原因无法接受外科手术。
 
  TAVR避免了开胸及体外循环,无需输血,具有创伤极小、术后恢复快等优点,是此类高危患者的最佳选择。新桥医院自2017年开始组建TAVR团队,并实施第一例自展式瓣膜TAVR手术,截止目前,中心共完成100余例TAVR手术,手术开展数量为全市之最,全国前十。
 
 
Copyright 2016 xqhospital All Rights Reserved 陆军军医大学·新桥医院
地址:重庆市沙坪坝区新桥正街83号 乘车路线:219、260、280、280、281、287、871、891路
24小时咨询热线:023-68755114、023-68755000 ICP备案/许可证编号:ICP备16011689号 渝公网安备50010602500400号