新闻动态
医院简介
视频报道
医学短讯
 
  您现在的位置:首页 >> 新闻动态 >> 院内新闻
【特色技术】心脏分叉血管堵塞支架过不去?球囊锚定技术来帮忙
发布时间:2020-8-7 发布者:李春梅
  204床杨大爷正拉着医生的手感激道。杨大爷来自重庆璧山,今年65岁,患冠心病多年,每次病情加重时胸痛难忍,胸闷,喘不上气。
 
  今年5月,病情加重,严重影响生活,连最基本的家务都不能做,就诊于当地医院,病情未能得到缓解。
 
  近日,杨大爷家人将其带到新桥医院心血管内科就医,科室赵晓辉副主任仔细查看了他的病情,由于病情较重,当即收治入院。
 
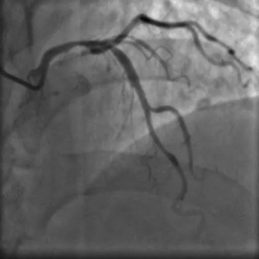
  入院后,杨大爷很快在心血管介入中心进行了冠状动脉造影及血管内超声检查术,结果显示:左主干末端至前降支近段,回旋支开口都有严重狭窄且伴钙化。如果再推迟入院几天,很有可能发生猝死。
 
  在介入导管室,赵晓辉副主任率团队当即制定了手术方案:采用crush双支架术式处理左主干分叉病变,植入支架以改善病变狭窄部位。
 
  但因涉及到血管左主干分叉病变,并且需进行双支架及球囊对吻,风险很高,对手术要求非常高。对此,手术由有多年冠脉介入治疗经验的王珂博士主台。
 
 
术 中
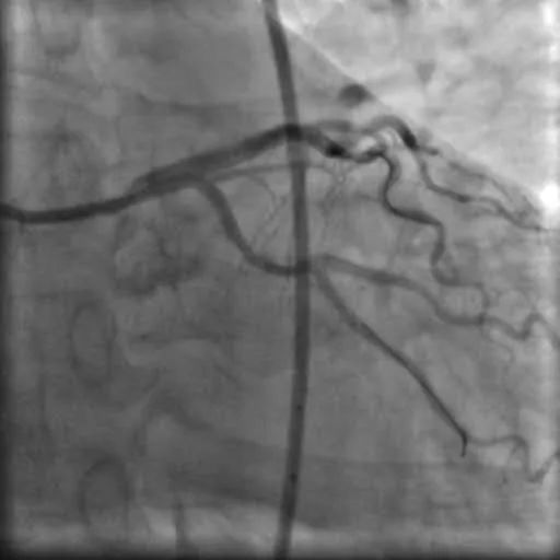
  王珂博士同往常一样,仔细地将指引导管推送到位,导丝顺利通过病变处,利用球囊顺利扩张狭窄病变后,顺次植入两枚支架。
至此手术已完成大半,现在只需再次将导丝及球囊送入回旋支,并完成病变分叉处“球囊对吻扩张”这一关键步骤即可。
 
遇 困
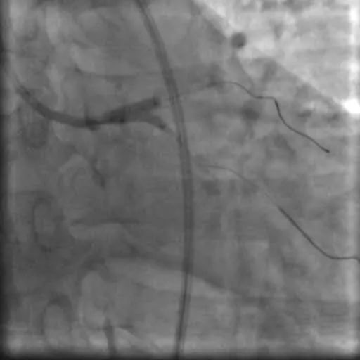
  然而,王博士在推送球囊穿过支架网孔进入回旋支时却遇到了困难。
 
  球囊穿越网孔本来就有难度,杨大爷的回旋支开口处有来自前降支和回旋支双层支架的阻挡,再加上血管本身扭曲合并钙化,推送阻力很大,球囊反复在回旋支开口来回操作但就是进不去,此时采用传统的方式行不通。
 
转 机
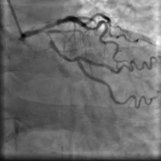
  赵晓辉副主任立即决定采用“支架内球囊锚定技术”,很快球囊便送过回旋支开口,然后与前降支支架内的后扩球囊对吻成功。
 
  造影及血管内超声显示两枚支架均贴壁良好,前降支及回旋支开口管腔狭窄显著改善,前向血流良好。
 
赵大爷顺利下台,术后恢复良好
 
造影图
 
 
 
 
 
 
  据赵晓辉副教授介绍,新桥医院心内科早在2013年就开始进行支架内球囊锚定的研究。该研究于2014年及2016年分别被国际权威心血管介入杂志《The Journal of invasive cardiology》、《Chinese Medical Journal》报道。
 
  目前,球囊锚定技术在赵晓辉副教授团队的多年实践下,已成熟运用。据统计,已有百余例患者获益,尤其对于比较复杂的分叉病变患者,取得了非常良好的效果。长期随访患者活动耐受力增强,支架内及边支再狭窄风险降低,生活质量明显提高。
 
技术链接
 
1、支架内锚定技术是常规技术失败后的一种安全有效的挽救性措施。
 
2、使用该方法,不仅可以提高边支球囊的通过性,而且球囊在锚定区域扩张时因有支架保护,不易造成血管损伤。
 
3、使用该方法不需增加额外的手术器械,可缩减手术时间,降低手术费用,使病人获益。
参考文献:
1. Xiaohui Zhao, Yaoming Song, Lan Huang; In-Stent Anchoring Facilitates Balloon Delivery for Final Kissing. The Journal of invasive cardiology. Vol. 26, No. 6, June 2014
2. Yu Zhou, Han Xiao, Yu‑Qing Wang, Xiao‑Hui Zhao, et al; In‑stent Anchoring Facilitating Side‑branch Balloon Delivery for Final Kissing: A Prospective, Single‑center Registry Study. DOI: 10.4103/0366-6999.193439
 
 
Copyright 2016 xqhospital All Rights Reserved 陆军军医大学·新桥医院
地址:重庆市沙坪坝区新桥正街83号 乘车路线:219、260、280、280、281、287、871、891路
24小时咨询热线:023-68755114、023-68755000 ICP备案/许可证编号:ICP备16011689号 渝公网安备50010602500400号